Why Quality Materials Matter in Dental Implants and Dentures

Why Quality Materials Matter in Dental Implants and Dentures

Categories

Recent Posts

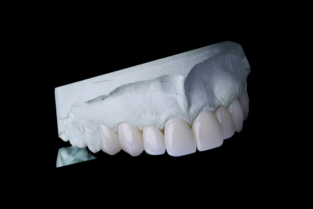
Custom Shade Matching

October 9, 2024

The Future of Digital Dentistry

October 9, 2024

When it comes to dental implants and dentures, the quality of the materials used is a critical factor in their success and longevity. At Onyx Dental Labs, we prioritize the use of high-quality, biocompatible materials to ensure our restorations offer the best possible outcomes for patients.

Dental implants, for example, must integrate seamlessly with the bone, so using durable, top-tier materials like titanium ensures strength and longevity. Likewise, our dentures are crafted from high-performance acrylics and resins, designed to withstand daily wear and tear while maintaining comfort and a natural appearance.

Quality materials not only improve the function of restorations but also enhance their aesthetics. Patients receive prosthetics that are not only durable but also visually appealing. At Onyx Dental Labs, we are committed to sourcing the best materials in the industry, ensuring that patients enjoy both the short-term and long-term benefits of their dental restorations.

By focusing on material quality, we ensure that the implants and dentures we create are built to last, providing both dentists and patients with restorations they can trust.

EXPERIENCE THE
ONYX LABS
DIFFERENCE

Join us on our mission to transform the dental industry and elevate the standard of care for patients everywhere. Contact us today to learn more about our services, request a consultation, or get started with Onyx Labs as your trusted dental laboratory partner.

Website by Easy Dental Marketing